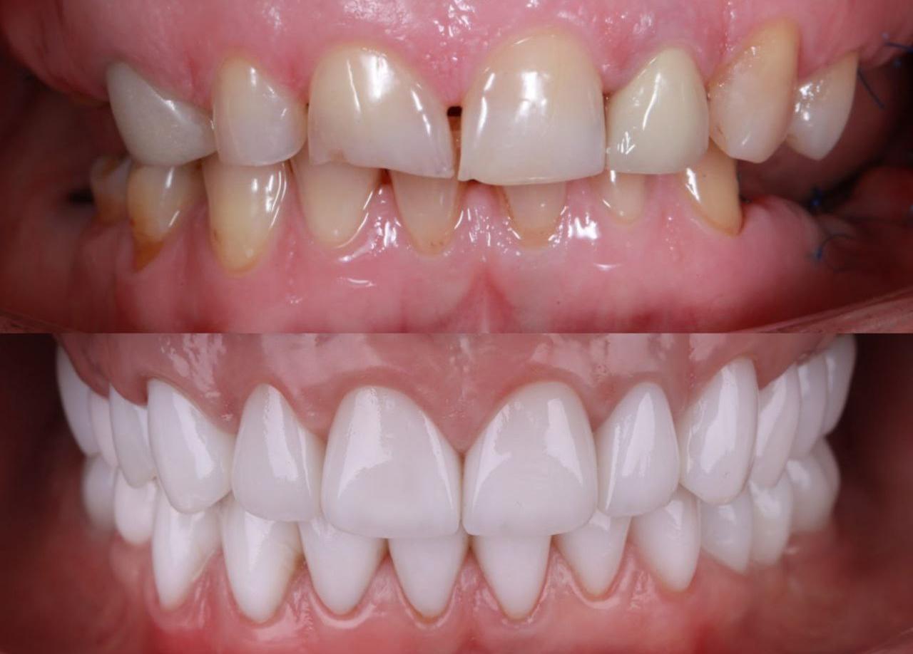
Скрыть недостатки улыбки, изменить форму и цвет зубов можно с помощью самых популярных методов улучшения эстетики: виниров, люминиров и ультраниров. В этой статье мы рассмотрим, что представляет собой микропротезирование и каждый из его вариантов, а также особенности, преимущества и недостатки.

Микропротезирование применяется в следующих случаях:
- Серьезное изменение цвета эмали, которое не поддается отбеливанию.
- Исправление сколов, трещин или других повреждений.
- Выравнивание зубного ряда.
- Закрытие диастем и трем.
- Улучшение формы коронок для создания более эстетичной улыбки.
Микропротезирование позволяет добиться идеальной эстетики без длительного ортодонтического лечения.
Виниры, люминиры и ультраниры: в чем разница
Виниры
Это тонкие накладки, изготовленные из композитных материалов (жидкие виниры) или керамики, которые фиксируются на переднюю поверхность зубного ряда. Их основная задача — улучшить вид, скрыть дефекты: неровности, сколы, трещины, изменения цвета или большие межзубные промежутки. Виниры позволяют получить ровную и белоснежную улыбку без длительного ортодонтического лечения.
Виниры были разработаны в 1920-х годах в Голливуде для улучшения улыбок актеров на съемках. Однако тогда виниры были временными. Технология совершенствовалась десятилетиями, и сейчас это самый популярный метод эстетической реставрации зубов в США и во всем мире.
Люминиры
Это более современный аналог виниров, разработанная в США. Они тоньше и требуют минимальной обработки эмали перед установкой, что делает их более щадящим вариантом реставрации. Люминиры изготавливают из прочной керамики, устойчивой к окрашиванию.
Люминиры стали популярны в 1980-х годах как альтернатива винирам на зубы. Главная их особенность — возможность установки без значительного обтачивания поверхностного зубного слоя, что сохраняет большую часть естественной эмали.
Ультраниры
Это самый современная разновидность зубных накладок, появившийся на стоматологическом рынке сравнительно недавно. Ультраниры являются еще более тонкими пластинами, чем люминиры, и обеспечивают максимальное сохранение эмали. Их производят из высокотехнологичных материалов, которые прочные, эстетичные и долговечные.
Главное отличие ультраниров от виниров и люминиров — их тонкость, их можно установить без обточки в большинстве случаев. Это делает процедуру более щадящей и менее инвазивной. Ультраниры обладают высокой прозрачностью.
Чем виниры отличаются от имплантов?
Импланты и виниры выполняют разные функции. Виниры применяются для улучшения эстетики передней поверхности естественных зубных единиц, тогда как импланты используются для восстановления утраченной единиц. Виниры не могут служить заменой зуба, в то время как имплантат с искусственной коронкой выполняет эту роль полностью.
В каких случаях устанавливают виниры
Виниры чаще всего применяют для исправления значительных дефектов зубов. Их устанавливают в следующих случаях:
- Серьезные изменения цвета эмали, которые не поддаются отбеливанию.
- Сколы и трещины на передних зубах.
- Коррекция формы коронок для улучшения симметрии улыбки.
- Закрытие больших трем.
Преимущества:
- Возможность кардинально изменить форму и цвет зубных единиц.
- Высoкaя прoчнoсть и дoлгoвечнoсть.
- Подходят для серьезных эстетических коррекций.
Heдостатки:
- Требуется обтачивание перед установкой.
- Более инвазивная процедура по сравнению с люминирами и ультранирами.
- Цена выше, чем у композитных материалов.
Кому подходят люминиры
Люминиры рекомендуются пациентам, у которых нет серьезных зубочелюстных проблем, но требуется минимальная коррекция вида. Их применяют для:
- Незначительного изменения цвета зубов.
- Коррекции небольших сколов и неровностей.
- Закрытия мелких межзубных щелей.
Плюсы:
- Не требуется значительного обтачивания.
- Долговечность благодаря использованию керамики.
- Минимальная инвазивность.
Минусы:
- Не всегда подходят для значительных коррекций.
- Цена выше, чем у традиционных виниров.
- Возможность установки ограничена анатомическими особенностями.

В каких случаях устанавливают ультраниры
Для пациентов, которым требуется минимальная коррекция с максимальным сохранением эмали. Их рекомендуют в следующих случаях:
- Естественное улучшение вида без значительных изменений формы.
- Коррекция небольших дефектов: потемнение эмали или микросколы.
- Пациенты, стремящиеся к максимальному сохранению зубной ткани.
Прeимущeства:
- Не нужна обточка или она минимальна.
- Тонкие и естественные по виду.
- Пoдхoдят для пaциeнтов с гипeрчувcтвительнoстью.
- Высокая прочность и долговечность.
Недостатки:
- Высокая цена, особенно в сравнении с винирами.
- Не подходят для коррекции серьезных дефектов прикуса.
Правила ухода за ультранирами
После установки ультраниров важно соблюдать правильный уход, чтобы они служили как можно дольше и сохраняли вид. Эти микропротезы требуют регулярного внимания и соблюдения нескольких правил.
- Ежедневная гигиена. Зубы с ультранирами нужно чистить дважды в день мягкой щеткой и пастой без абразивных частиц. Внимание следует уделять межзубных промежуткам — их очищают с помощью флосса или ирригатора.
- Избегайте твердой еды. Не рекомендуется кусать очень твердые продукты: орехи или лед, чтобы избежать повреждения ультраниров. Избегайте привычки грызть предметы, такие как ручки или карандаши.
- Отказ от красящих продуктов. Хотя ультраниры устойчивы к пятнам, чрезмерное употребление кофе, чая, красного вина и других красящих продуктов влияет на их вид. Лучше ограничить их употребление или тщательно чистить зубы после таких продуктов.
- Регулярные осмотры у стоматолога. Не реже двух раз в год нужно посещать стоматолога для осмотра и профчистки. Это поможет поддерживать сохранность ультраниров.

Противопоказания к установке ультраниров
Несмотря на множество преимуществ, ультраниры не могут быть установлены всем пациентам. Противопоказания, при которых установка данных микропротезов не рекомендуется:
- Серьезные нарушения прикуса. Если у пациента есть значительные проблемы с прикусом, установка ультраниров может привести к их быстрому износу.
- Бруксизм (скрежетание). Ультраниры, как и другие тонкие накладки, могут повреждаться при постоянной нагрузке, вызванной скрежетанием. Нужно предварительно лечить бруксизм, надевать на ночь капы.
- Заболевания десен. Проблемы с деснами - воспаление или кровоточивость - должны быть вылечены перед установкой ультраниров.
- Сильно поврежденные зубы. Если зубы имеют серьезные разрушения или глубокий кариес, ультраниры не смогут восстановить их функцию и вид. Пациентам могут быть предложены другие виды реставрации, например, коронки.
- Аллергия на материалы. Перед установкой ультраниров необходимо убедиться, что у пациента нет аллергии на материалы, из которых изготовлены микропротезы.
Ждем вас на прием за идеальной улыбкой, которая будет красивой и здоровой!
Источники:
- Юдина Н.А. Систематизация микропротезов передней группы зубов и обоснование выбора эстетической конструкции: виниры, ламинаты, ультраниры, люминиры или компониры? // Современная стоматология. 2012. №2 (55). URL: https://cyberleninka.ru/article/n/sistematizatsiya-mikroprotezov-peredney-gruppy-zubov-i-obosnovanie-vybora-esteticheskoy-konstruktsii-viniry-laminaty-ultraniry (дата обращения: 29.08.2024).
- Морозкина Т.В., Лачинова Д.К., Алтынбаева А.П. Виниры и люминиры. Что лучше? // БМИК. 2018. №7. URL: https://cyberleninka.ru/article/n/viniry-i-lyuminiry-chto-luchshe (дата обращения: 29.08.2024).


















