Лечение кариеса
Ищете, где вылечить кариес? В нашей клинике вы получите качественное лечение без переплат. Кариес — одно из самых частых заболеваний зубов. При нем разрушается твердая ткань, которая не восстанавливается самостоятельно. Поэтому не стоит откладывать визит к стоматологу-терапевту.
В Москве лечение можно пройти в Сети стоматологических клиник ПрезиДЕНТ, где работают опытные врачи-стоматологи. Запишитесь онлайн или позвоните по номеру: +7 (495) 120-01-20.
Кариес: симптомы и причины появления
Распознать заболевание достаточно просто. Вначале зубная эмаль изменяет оттенок и структуру – светлеет или, напротив, темнеет, становится шероховатой. Может повыситься чувствительность, например, появиться болезненные ощущения при приеме горячей, холодной, сладкой пищи. Одним из симптомов также является наличие неприятного запаха изо рта.
- Причиной заболевания могут быть бактерии. Ими вырабатываются кислоты, которые вымывают из тканей зуба кальций и фтор. К прогрессированию кариеса может привести недостаточное слюноотделение. В слюне содержатся минеральные вещества, которые способны нейтрализовать кислоты. Если слюны мало, кислоты оказывают более губительное воздействие на ткани.
- Также причиной возникновения кариеса является неправильный рацион питания. В частности, кариозные поражения могут появиться при чрезмерно частом употреблении сладостей. И конечно же, кариес не заставит себя долго ждать, если не соблюдать гигиену полости рта.

Каким бывает кариес
Относительно степени поражения зубной ткани выделяют несколько стадий кариеса:
- начальный кариес (стадия пятна) – меняется оттенок эмали;
- поверхностный кариес – начинается поражение зубной эмали;
- средняя стадия – разрушается верхний слой дентина;
- глубокий кариес – дентин разрушается практически до самой пульпы.
Заболевание может иметь различную локализацию. Так, кариозные поражения способны возникнуть:
- в углублениях зубов (фиссурные);
- на стыках зубов (апроксимальные);
- около десны либо под десной (пришеечные).
Кариозная полость, появившаяся на передних зубах является не только медицинской, но и эстетической проблемой. В таких ситуациях зачастую за врачебной помощью обращаются немедленно даже те, кто панически боится стоматологических вмешательств.
Осложнения кариеса
Невылеченный кариес у ребенка — не безобидная мелочь, а прямой путь к серьезным проблемам. Сначала поражается эмаль, затем дентин, и инфекция добирается до пульпы. Это вызывает пульпит — острое воспаление нерва и сосудов внутри зуба.
Если и на этом этапе не обратиться к врачу, развивается периодонтит. Воспаление переходит на ткани вокруг корня, появляются свищи, может начаться разрушение зачатков постоянных зубов.
Хронический очаг инфекции снижает иммунную защиту. Ребенок чаще болеет, испытывает боль при еде, плохо спит.
Разрушенные молочные зубы мешают формированию правильного прикуса. Это приводит к скученности постоянных зубов и увеличивает вероятность установки брекетов в будущем.
Кариес — не только дырка в зубе. Это фактор, влияющий на здоровье, развитие и качество жизни ребенка.
Современные методы лечения кариеса
Выбор способа лечения кариеса зависит от стадии разрушения. Если кариес только начал проявляться в виде мелового пятна, используется реминерализация — восстановление эмали препаратами с кальцием и фтором. При более глубоком поражении требуется полноценное вмешательство.
Существует два подхода:
- Неинвазивный. Применяется на ранних этапах, когда эмаль еще не разрушена. Врач очищает поверхность зуба от налета и наносит укрепляющий состав. Этот метод подходит даже в случаях, когда нельзя использовать анестезию — например, при аллергии.
- Инвазивный. Используется при среднем и глубоком кариесе. Врач удаляет разрушенные ткани с помощью специального оборудования.
Все лечение обычно занимает не более часа. Основная задача — остановить разрушение и сохранить здоровые ткани.
Сегодня для пломб используются световые и композитные материалы. Они надежны, прочны и практически неотличимы от натуральной эмали.
Этапы лечения
- Осмотр. Врач оценивает состояние зуба и глубину поражения.
- Обезболивание. Применяется местная анестезия — по возрасту и показаниям.
- Удаление кариеса. Аккуратно очищаются разрушенные ткани.
- Обработка полости. Применяются антисептики для защиты от микробов.
- Восстановление формы. Ставится пломба, подходящая по цвету и прочности.
- Финальная проверка. Врач оценивает прикус и качество пломбировки.
Профилактика развития кариеса
- Чистка зубов утром и вечером. Используются пасты с фтором и мягкая щетка.
- Сбалансированное питание. Меньше сахара — меньше риска разрушения эмали.
- Питьевой режим. Чистая вода помогает очищать полость рта.
- Гигиена у стоматолога. Профессиональная чистка и контроль каждые 6 месяцев.
- Герметизация. Закрытие углублений в жевательных зубах для защиты от кариеса.
- Эмальподдерживающие процедуры. Фторирование или реминерализация — по назначению врача.
Специалисты стоматологии ПрезиДЕНТ используют современные качественные пломбировочные материалы. Вы останетесь полностью довольны результатом, а невысокие цены на план лечения кариеса станут дополнительным приятным бонусом!
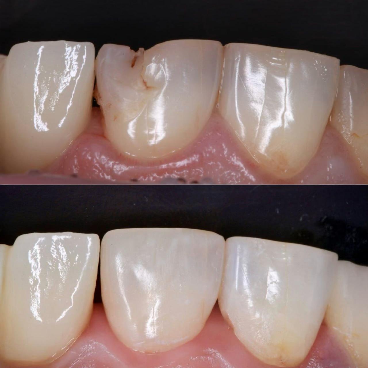
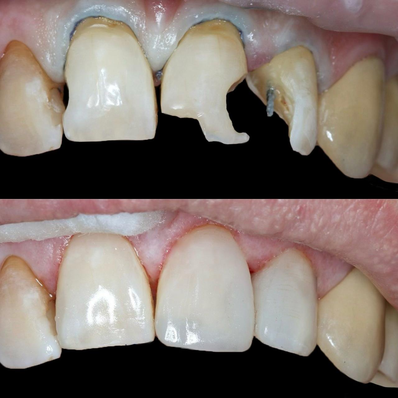
Примеры лечения



Смотрите также
Источники:
- Зеленова Е.Г., Заславская М.И., Салина Е.В., Рассанов СП. Микрофлора полости рта: норма и патология: Учебное пособие. — Нижний Новгород: Издательство НГМА, 2004.
- Oral health: A window to your overall health // Mayo Clinic (www.mayoclinic.org), 07.06.2025.
- Anita M. Mark Helping your child fight tooth decay. For the patient // JADA, 2020. Vol. 151, Issue 2.
Вам срочно нужно к врачу, если у вас:
- Потемнение зубной эмали
- Возникла кариозная полость
- Болевые ощущение при принятии холодной и/или горячей пищи
- Появился скол на зубе
- Покраснение/набухание десен
- Неприятный запах изо рта
Лечение кариеса
от 10 000 ₽Лечение пульпита
от 14 000 ₽Эстетическая реставрация
от 12 000 ₽Восстановление зуба пломбировочными материалами с использованием штифтов
от 11 000 ₽Лечение поверхностного кариеса без препарирования. Системой ICON
от 4 800 ₽
Обращаем ваше внимание на то, что данный интернет-сайт, а также вся информация об услугах и ценах, предоставленная на нем, носит исключительно информационный характер и ни при каких условиях не является публичной офертой
Что входит в стоимость услуги
Анестезия
После беседы врач проводит визуальный осмотр полости рта, чтобы оценить состояние зубов и десен.
Материалы
Одним из факторов, определяющим стоимость стоматологических услуг, является выбор материалов. Врач подбирает высококачественные материалы для имплантации, коронок и пломб, чтобы обеспечить долговечный результат и минимизировать риск осложнений.
Снимок
Для качественного и безопасного лечения требуется точная диагностика, и снимок зубов играет ключевую роль. Стоимость диагностических снимков варьируется в зависимости от их точности и технологий, которые используются.
Полировка
Финальный этап протезирования включает полировку и окончательную настройку искусственных зубов или коронок. Это помогает достичь максимальной эстетики и удобства, что является важным для долгосрочного использования протезов.
Что еще влияет на стоимость
- Опыт врача
Опыт и квалификация стоматолога играют ключевую роль в определении стоимости услуги. Чем более опытный врач, тем выше цена.
- Использование микроскопа
Применение микроскопа во время стоматологических процедур позволяет достигать высокой точности. Это особенно важно при установке имплантатов или проведении микрохирургических операций.
- Степень поражения зуба
Чем более сложное поражение зуба или десны, тем дороже будет лечение. Сильные разрушения требуют большего объема работы.
Проконсультируем и запишем в ближайшую клинику
Оставьте контакты, а мы свяжемся с вами и поделимся необходимой информацией о лечении
Вопросы и ответы
Насколько больно лечить кариес?
Оцениваем боль на 1/10. Во время процедуры мы применяем инновационные методики и анестезию, поэтому лечение проходит легко и безболезненно.
Выберите свою клинику
Журнал
Все публикацииОсложнения после синус-лифтинга: симптомы и причины
Читать полностью
Каппы для выравнивания зубов: взрослым и детям
Читать полностью
Виниры для зубов: что это такое, плюсы и минусы
Читать полностью



