Стоматологи клиник ПрезиДЕНТ активно используют передовые методы диагностики. Один из них — ТРГ снимок зубов.
Что такое ТРГ
Телерентгенография — это метод рентгенологического исследования, используемый для детального изучения анатомии черепа и лицевого скелета в боковой и прямой проекции. Играет важную роль в стоматологии, давая специалистам возможность анализировать строение черепа, зубных единиц, а также соотношение челюстей и зубных рядов.
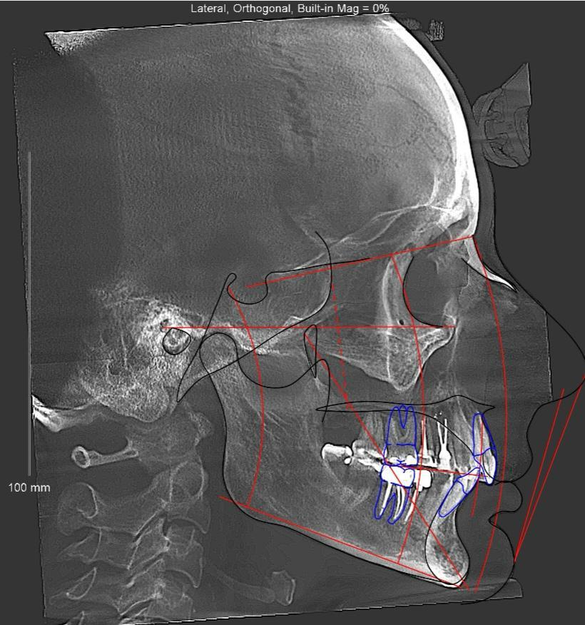
Телерентгенограмма дает специалисту возможность видеть не только зубы, но и челюсти, нежесткие ткани, а также углы между ними, такие как угол Бета. Это более детальное изображение, чем при обычном рентгене.
Телерентгенография в ортодонтии
Играет ключевую роль в составлении плана лечения и прогнозировании результата. ТРГ в боковой проекции используется для оценки профиля пациента, его черепных структур и положения корней относительно челюстей. Это важно для коррекции прикуса с помощью брекет-систем и элайнеров.
Виды
В телерентгенографии есть два основных типа исследований, которые на первый взгляд ничем не отличаются по виду, но показывают разные области челюстно-лицевой системы:
- ТРГ в боковой проекции. Это наиболее часто используемый вид исследования. Телерентгенограмма в боковой проекции показывает расположение обеих челюстей, а также положение зубных единиц относительно друг друга. Используется при диагностике нарушений смыкания зубов.
- ТРГ в прямой проекции. Помогает оценить симметрию лица. Используется для анализа асимметрии и деформаций костей черепа.

Чтобы оценить узкие области можно применить подбородочно-макушечную проекцию, проекцию Тауна, проекцию Уотерса и др.
Что показывает
Она дает возможность увидеть различные анатомические структуры:
- Положение челюстей. Показывает, как они соотносятся друг с другом.
- Наклон и положение зубов. Позволяет оценить и выявить отклонения, которые нужно исправить в ходе ортодонтического лечения.
- Состояние костей. Показывает патологии костей лицевого черепа, такие как деформации или асимметрии.
- Угол Бета в ортодонтии. Этот угол используется для оценки положения зубных единиц и челюстного аппарата, что особенно важно при коррекции окклюзии.
Изображение предоставляет врачу-ортодонту полную картину состояния зубочелюстной системы, что делает его незаменимым при планировании ортодонтических процедур. Гармония черт лица и правильный прикус вычисляются математически. Это не что иное, как математическая основа диагноза, его геометрическое обоснование и одно из важнейших документальных подтверждений правильности поставленного диагноза.

Показания к проведению
Этот диагностический метод назначается в следующих случаях:
- Нарушения прикуса.
- Челюстно-лицевые операции. Используется для планирования операций на челюстях и лицевых костях.
Как проводится
- Подготовка. Человек снимает все металлические предметы: украшения, ортопедические конструкции из металла, например, съемные протезы. Это необходимо для четкой визуализации.
- Позиционирование. Пациент встает перед рентгеновским аппаратом, голова фиксируется в нужной позиции. Если по каким-то причинам человек не может стоять неподвижно — он садится. Во время этого этапа во всем помогает сотрудник рентгенкабинета. Для обеспечения неподвижности головы используют цефалостат. Ушные оливы безболезненно закрепляются в слуховых проходах, пластиковая скоба удерживается в районе переносицы.
- Сканирование. Рентгеновский луч проходит через череп и зубочелюстную систему, а снимок фиксируется на цифровом носителе. Во время записи излучатель и датчик вращаются вокруг головы.
- Анализ данных. Точки ТРГ в ортодонтии помогают доктору провести детальный анализ и определить лечебный план. Данные отображаются на экране компьютера. Врач делает необходимые пометки, выделяет углы, рассчитывает расстояния между осями. Рентгенограмма распечатывается на бумаге, записывается на диск и передается клиенту.
Преимущества и недостатки
Сильные стороны:
- Высокая точность и информативность. Позволяет детально исследовать анатомическое строение головы и шеи, что особенно важно при подготовке к ортодонтическому лечению. Телерентгенография — более полное изображение, чем рентгеновский снимок, охватывающее в том числе и череп. Это помогает ортодонту или челюстно-лицевому хирургу лучше понять анатомические особенности человека и разработать наиболее точный план.
- Изучение функциональных особенностей. Применяется для оценки не только положения костей черепа, но и анализа роста и развития челюстного аппарата. Это позволяет врачам оценить возможные изменения в будущем и вовремя скорректировать лечебную тактику. На ТРГ пациент находится в положении, максимально приближенном к естественному, это помогает оценить функциональное состояние челюстного аппарата.
- Использование для долгосрочного мониторинга. Позволяет фиксировать изменения в черепно-лицевой области на разных этапах лечения. Это делает возможным оценку прогресса ортодонтического вмешательства и при необходимости корректировать план на основании полученных данных.
- Низкая доза облучения. Несмотря на то, что ТРГ является рентгенологическим исследованием, современное оборудование обеспечивает минимальное воздействие ионизирующего излучения. Это особенно важно для тех, кому требуется проведение регулярного мониторинга в течение долгого времени. При выполнении обычного рентгеновского снимка легких пациент получает суммарную дозу порядка 60 мкзв, а при телеренгенограмме показатель обычно составляет от 15 до 50 мкзв. Это меньше цифры, допустимой СанПиНом России в течение 1 года, в 50 раз!
- Мгновенный результат. Некоторые люди не успевают надеть на себя серьги, цепи и кольца, как уже можно начать анализ. На всю процедуру с распечаткой снимков уходит не более 10 минут.
Недостатки:
- Ограниченная визуализация мягких тканей. Метод предназначен для изучения костных систем. Мышцы, нервы и другие элементы визуализируются не так четко, как на других видах рентгенографии или на МРТ. Это может затруднить постановку диагноза в случаях, когда требуется оценка мягкотканевых образований.
- Неполная картина состояния зубов. Телерентгенограмма предоставляет информацию в основном о костной структуре. Для оценки состояния зубных единиц и костной ткани врачам потребуется другая диагностика — КТ.
- Трудности интерпретации без специалиста. Требует тщательной расшифровки, которую способен выполнить только опытный врач-ортодонт. Недостаток опыта в интерпретации данных может привести к ошибкам в постановке диагноза и назначении лечебных мероприятий.
Сравнение ТРГ с панорамным снимком
Телерентгенограмма используется для более скрупулезного изучения черепно-лицевого скелета, тогда как второй вариант подходит для общей диагностики состояния зубов.
Сравнение ТРГ и компьютерной томографии
КТ также является мощным инструментом для диагностики костных тканей, но отличается тем, что предоставляет трехмерное изображение.
Противопоказания
Несмотря на минимальное излучение, существуют ситуации, когда исследование нежелательно:
- Беременность.
Беременным женщинам рекомендуется избегать рентгенологических исследований, особенно в первом триместре, когда идет активное формирование плода. - Возраст до 5 лет.
Детям младшего возраста не проводят телерентгенографию, если нет острой необходимости. Это связано с высокой чувствительностью растущего организма к ионизирующему излучению. - Тяжелые заболевания.
Людям с тяжелыми хроническими патологиями или в критическом состоянии также могут временно отказать в проведении процедуры до стабилизации состояния. - Аллергия на контрастные вещества.
Как интерпретируются результаты
2D-изображение объемного объекта требует профессиональной интерпретации. Ортодонты проводят детальный анализ полученных изображений, чтобы оценить расположение костей и их соотношение.
Роль врача в расшифровке телерентгенограммы:
- анализирует положение черепных костей, оценивает состояние челюстных костей, их соотношение друг с другом;
- разрабатывает подробный план лечения, определяет необходимость использования брекетов или других ортодонтических конструкций, а также прогнозирует сроки.
- на разных этапах сравнивает результаты, что помогает корректировать терапию.
Расшифровка телерентгенограммы
Для расшифровки нужны глубокие знания анатомии черепно-лицевого аппарата и опыта в работе с рентгенологическими данными. Неверная интерпретация может привести к ошибкам в диагнозе, что чревато неправильным лечением. Доктор точно расшифрует изображение и предложит наиболее эффективную схему действий.
Заключение
Этот важный метод диагностики челюстно-лицевой системы проводят в клиниках сети ПрезиДЕНТ. Ортодонты с опытом 5-20 лет расшифровывают диагностические данные и детально объясняют, что поможет в вашем случае и почему.
Источники
- Гоголева А. В., Кочетова М. С. Обоснование выбора метода анализа телерентгенограмм при лечении различных вариантов сагиттальных аномалий окклюзии // Саратовский научно-медицинский журнал. 2014. №2. URL: https://cyberleninka.ru/article/n/obosnovanie-vybora-metoda-analiza-telerentgenogramm-pri-lechenii-razlichnyh-variantov-sagittalnyh-anomaliy-okklyuzii (дата обращения: 09.08.2024).
- Бернард В. И., Жук А. О. Особенности выбора методики расчета телерентгенограммы в боковой проекции при планировании ортодонтического лечения // БМИК. 2013. №2. URL: https://cyberleninka.ru/article/n/osobennosti-vybora-metodiki-rascheta-telerentgenogrammy-v-bokovoy-proektsii-pri-planirovanii-ortodonticheskogo-lecheniya (дата обращения: 09.08.2024).
Вопросы и ответы
Сколько стоит ТРГ снимок в Москве?
Стоимость телерентгенограммы в Москве варьируется от 1 500 до 3 500 рублей в зависимости от клиники и оборудования. Средняя цена — 2 000-2 500 руб. В цену обычно входит: выполнение снимка в боковой или прямой проекции, цифровая запись на диск или флешку, распечатка на пленке или бумаге. Первичный анализ иногда включен в стоимость, но детальная расшифровка ортодонтом с разметкой точек и углов может оплачиваться отдельно (1 000-3 000 руб.).Нужна ли подготовка к ТРГ исследованию?
Специальной подготовки не требуется. Перед процедурой необходимо: снять все металлические предметы (серьги, цепочки, заколки, очки, пирсинг), снять съемные зубные протезы (если есть), убрать слуховые аппараты, вытащить мобильный телефон из карманов. Можно принимать пищу и лекарства в обычном режиме. Процедура не требует голодания. Занимает 5-10 минут с учетом позиционирования.Можно ли делать ТРГ детям? С какого возраста?
Да, ТРГ делают детям с 5-6 лет, когда ребенок может стоять неподвижно 10-15 секунд. До 5 лет процедура проводится только по строгим показаниям (серьезные аномалии развития челюстей). С 6-7 лет ТРГ активно используется в детской ортодонтии для планирования лечения на пластинках, трейнерах, брекетах. Доза облучения минимальна (15-50 мкЗв) — безопасна для детей. Современные цифровые аппараты снижают дозу в 10 раз по сравнению со старыми пленочными. Родители не присутствуют в рентген-кабинете, но могут находиться за защитным стеклом.Как часто можно делать ТРГ? Есть ли ограничения по количеству?
Безопасная частота: 2-3 раза в год без вреда для здоровья. Типичный график при ортодонтическом лечении: перед началом лечения (диагностика), через 6-12 месяцев (контроль динамики), после завершения лечения (оценка результата). Максимально допустимая доза по СанПиН: 1000 мкЗв в год (профилактические обследования). Одна ТРГ — 15-50 мкЗв, т.е. теоретически можно сделать 20-60 снимков в год без превышения нормы. На практике: ортодонты назначают ТРГ не чаще 1 раза в 4-6 месяцев, чего достаточно для контроля лечения.Чем ТРГ отличается от ОПТГ (ортопантомограммы)?
ТРГ (телерентгенограмма): боковой снимок черепа в профиль с расстояния 1,5 м, показывает соотношение челюстей, профиль лица, углы между костями черепа, используется для планирования ортодонтического лечения и челюстно-лицевых операций. ОПТГ (панорамный снимок): круговой снимок обеих челюстей, показывает все зубы, корни, каналы, зачатки зубов мудрости, кисты, воспаления, используется для общей диагностики состояния зубов, планирования имплантации, удаления зубов. Разница: ТРГ — про прикус и профиль, ОПТГ — про зубы. Часто назначают оба снимка вместе для полной диагностики.Можно ли сделать ТРГ при беременности?
Не рекомендуется, особенно в 1 триместре (1-13 недель) — период формирования органов плода, максимальная чувствительность к излучению. 2 и 3 триместр: только по жизненным показаниям (срочная операция, травма) с обязательной защитой живота свинцовым фартуком. Альтернатива: отложить плановое ортодонтическое лечение до родов и окончания грудного вскармливания, использовать старые снимки (если есть), если срочно нужна диагностика — МРТ (безопаснее рентгена). После родов: ТРГ можно делать сразу, грудное вскармливание — не противопоказание (излучение не накапливается в молоке).Что такое цефалометрический анализ ТРГ?
Цефалометрический анализ — математическая обработка телерентгенограммы для точной диагностики аномалий прикуса. Суть метода: на снимок наносят контуры костей и мягких тканей, отмечают ключевые анатомические точки (40-60 точек), проводят линии между точками, измеряют углы и расстояния, сравнивают полученные значения с нормой. Основные измерения: угол наклона верхней челюсти, угол наклона нижней челюсти, угол между челюстями, положение зубов относительно костной основы, профиль мягких тканей лица. Результат: цифровое описание типа прикуса и план коррекции. Выполняется ортодонтом вручную или с помощью специальных программ (Dolphin, OnyxCeph). Занимает 30-60 минут.Нужна ли ТРГ для установки брекетов?
Да, обязательна в большинстве случаев. ТРГ необходима для: определения типа прикуса (скелетный или зубоальвеолярный), расчета направления и расстояния перемещения зубов, выбора типа брекет-системы и дуг, прогнозирования изменений профиля лица, принятия решения об удалении зубов (если нужно), контроля лечения на промежуточных этапах. Без ТРГ: лечение “вслепую”, высокий риск ошибок, невозможность спрогнозировать результат, отсутствие документального обоснования плана лечения. Исключения: очень легкие случаи (небольшая скученность передних зубов), когда достаточно панорамного снимка и фотографий. Ответственный ортодонт всегда назначит ТРГ перед брекетами.Что такое точки и углы на ТРГ? Какие основные параметры оценивают?
На ТРГ отмечают анатомические точки и измеряют углы между ними. Основные точки: Nasion (переносица), Sella (центр турецкого седла), Orbitale (нижний край глазницы), Porion (верхняя точка слухового прохода), точка A (максимальная вогнутость верхней челюсти), точка B (максимальная вогнутость нижней челюсти), Pogonion (наиболее выступающая точка подбородка), Gnathion (самая нижняя точка подбородка). Основные углы: SNA (положение верхней челюсти относительно основания черепа, норма 82°), SNB (положение нижней челюсти, норма 80°), ANB (соотношение челюстей, норма 2°), угол наклона резцов, лицевой угол. Зачем: отклонения от нормы указывают на тип аномалии прикуса и способ коррекции.


















