Лунка после удаления зуба – естественное следствие травмирования тканей, требует тщательного ухода и заботы. Недостаток гигиены или неосторожное движение могут спровоцировать ее инфицирование и, как следствие, воспаление, вплоть до серьезных заболеваний и разрушения околозубных тканей.
Как заживает лунка после удаления зуба
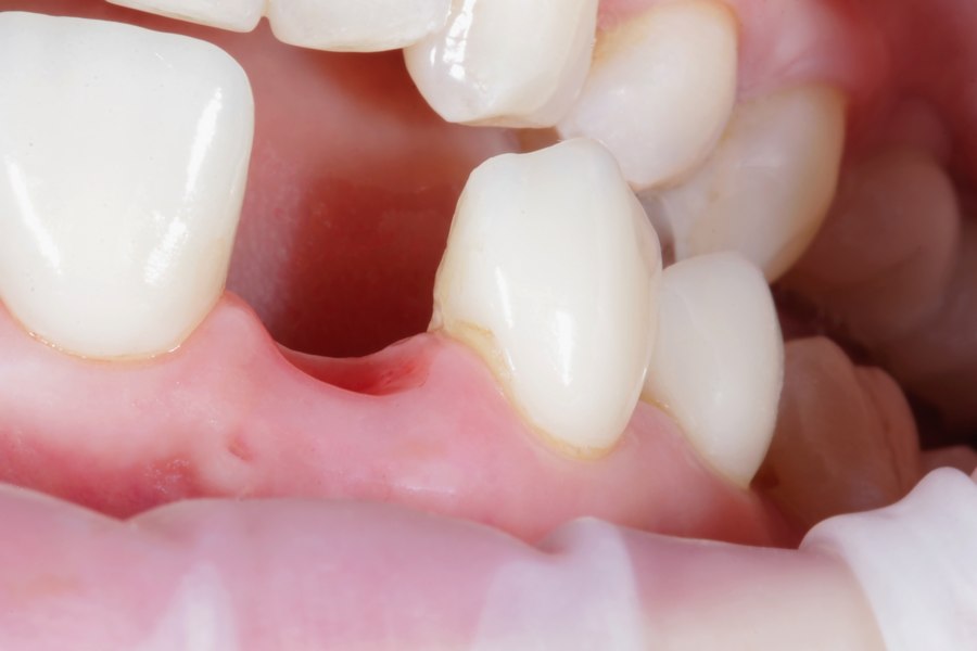
Лунка является ранкой, оставшейся после извлеченного из альвеолы зубного корня. Первое время после экстракции из нее идет кровь, что является нормой и не должно вызывать беспокойства. Кровь заполняет ранку и сворачивается за 10-15 минут (возможно дольше, в зависимости от индивидуальных особенностей пациента).
В результате в лунке образуется кровяной сгусток – это ее естественная защита от бактерий и микробов, которые могут атаковать травмированные и лишенные слизистой оболочки мягкие ткани.
Сразу после операции начинается процесс регенерации, который продлится несколько недель:
- следующие 3-5 часов из десны может выделяться небольшое количество крови, но кровотечение не интенсивное, легкая кровоточивость может наблюдаться в течение следующих пары дней;
- в течение 12-15 часов после операции возможно выделение желтоватой прозрачной жидкости – сукровицы, это тоже норма;
- после окончания действия анестезии десна рядом с лункой начинает болеть, боль ноющая, но, как правило, несильная – это реакция на повреждение нервных окончаний и отек в мягких тканях, который спровоцирован началом заживления;
- на второй-третий день болезненность в месте операции уменьшается либо полностью проходит, сгусток в лунке уменьшается в размерах, а под ним начинает формироваться новая соединительная ткань;
- на дне ранки образуется грануляционная ткань, которая с каждым днем будет разрастаться и постепенно вытеснять защитный тромб, а внутри самой ранки можно заметить белесый налет – удалять его не следует;
- на четвертый день ранка после удаления зуба обретает здоровый розовый цвет, а ее края стягиваются к центру;
- если края выглядят воспаленными и красными, а внутри просматривается гной, скорее всего, внутрь попала инфекция и происходит воспаление, в этом случае следует немедленно обратиться к стоматологу;
- 7-10 дней после удаления – кровяной тромб полностью рассосался, вся лунка покрыта эпителием и уменьшилась в размерах, допускаются красные края и остатки белесого налета, одновременно под деснами происходит формирование новой костной ткани;
- через пару недель ранка после удаления зуба заживает полностью;
- полная эпителизация происходит к 20-25 дню.
Полноценная костная ткань сформируется и окрепнет только через пару месяцев, все это время следует вести себя осторожно, не перегружать челюсть, избегать излишне жестких продуктов.
Как быстро заживает лунка после удаления зуба
Точные сроки заживления зависят от специфики операции (простое или сложное удаление, с выпиливанием кости или нет, с наложением швов и другими тонкостями). Также на скорость регенерации влияет возраст и иммунитет пациента, соблюдение им правил ухода.

Играет роль и место экстракции: дольше всех заживают последствия удаления зубов мудрости, а также многокорневых и зубов с искривленными и разветвленными корнями. Зубы на верхней челюсти заживают быстрее, в силу особенностей кости и строения верхних зубных единиц.
Причины медленного заживления
Иногда сроки восстановления оказываются дольше прогнозируемых, так происходит по ряду причин:
- в процессе удаления была допущена ошибка;
- в ранке остался фрагмент кости или коронки;
- во время выпиливания кости произошел перегрев и термический ожог;
- преждевременное удаление кровяного сгустка пациентом, результат – развитие сухой лунки (альвеолита) с воспалением и нагноением;
- чрезмерно частые полоскания полости рта, приведшие к вымыванию кровяного сгустка;
- травмирование альвеолы приемом излишне жесткой пищи;
- прием медикаментов, провоцирующих разжижение крови;
- наличие хронических заболеваний, негативно влияющих на заживление – сахарный диабет, патологии иммунитета, плохая свертываемость крови;
- остеомиелит – воспаление костной ткани, сопровождается острой болью, гнилостным запахом.
Если в течение недели вы не видите признаков заживления, а десна в области удаления, напротив, распухла, посинела и сильно болит, следует безотлагательно обратиться к врачу.
Ускорить процесс заживления также возможно. Для этого необходимо в первые сутки после операции делать ротовые ванночки, а в последующие дни – осторожные полоскания Хлоргексидином или Мирамистином. Накладывать аппликации из заживляющих гелей. Избегать горячей, жесткой или острой пищи.
Нельзя трогать десну руками, удалять кровяной сгусток. Жевать пищу следует на здоровой стороне, чистить зубы только мягкой щеткой, в первые сутки травмированную область не чистить вообще.
Совет врача

Семенова Ксения Сергеевна
стоматолог-хирург-имплантолог, специалист в области дентальной имплантации, All-on-4, All-on-6, главный врач клиники ПрезиДЕНТ на Сухаревской
Опыт работы 15 лет
— Что делать, если лунка после удаления зуба болит?
Если лунка болит, используйте обезболивающие, рекомендованные врачом, и избегайте горячей пищи. Полоскания рта не рекомендуются в течение первых 10 дней. Можно делать лечебные ванночки с растворами хлоргексидина или мирамистина: удерживайте жидкость во рту 30–60 секунд, а затем выплюньте. Это снижает риск инфекции и уменьшает воспаление. Если боль усиливается или не проходит несколько дней, обратитесь к стоматологу.
— Как ухаживать за лункой после удаления зуба?
Избегайте полосканий первые несколько дней, не трогайте лунку языком или пальцами, не трогайте зону операции зубной щеткой. Ешьте мягкую пищу, исключая горячее и острое. В общем, меньше беспокойте рану, чтобы она быстрее зажила
Ответы на часто задаваемые вопросы
— Что такое лунка после удаления зуба?
Лунка после удаления зуба — это углубление в десне, которое образуется на месте удаленного зуба. В ней происходит заживление тканей.
— Как долго заживает лунка после удаления зуба?
Заживление лунки обычно занимает от нескольких дней до нескольких недель, в зависимости от сложности удаления и индивидуальных особенностей пациента.
— Что делать, если лунка после удаления зуба болит?
Если лунка болит, рекомендуется обратиться к стоматологу. Боль может быть нормальной реакцией, но сильная или нарастающая боль может указывать на осложнения.
— Как ухаживать за лункой после удаления зуба?
Уход включает в себя избегание горячей пищи, соблюдение гигиены полости рта, использование антисептиков и избегание курения.
— Когда нужно обратиться к врачу после удаления зуба?
Обратитесь к врачу, если у вас возникли сильные боли, отек, гнойные выделения или если заживление затягивается более чем на 2-3 недели.


















