Более 20% людей доживают до 65 лет, сохранив всего 8 зубов или меньше. Многие ищут стоматолога-ортопеда и имплантолога для восстановления зубных единиц уже к 30 годам. Поэтому одни из топовых запросов пациентов в стоматологической клинике — коронки на зубы и имплантаты.

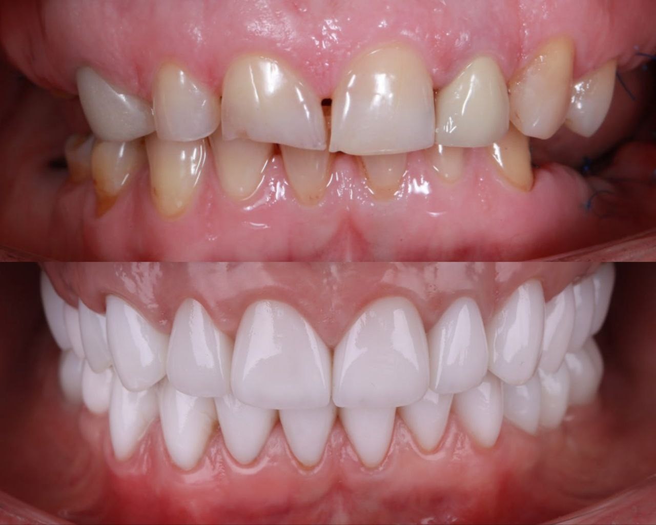
Эстетическая реабилитация керамическими реставрациями с установкой имплантатов. Работа специалистов сети стоматологических клиник ПрезиДЕНТ
Что такое зубные коронки
Это ортопедические конструкции, “колпачки”, которые надеваются на поврежденные или разрушенные зубы, чтобы восстановить их форму, функции и красивый вид.
В зуботехнической лаборатории их изготавливают из металла, керамики, циркония или композитных материалов.
Коронка полностью покрывает видимую часть зуба и фиксируется стоматологического цемента. Мы создаем прочную защитную оболочку вокруг зуба, которая восстанавливает его способность к нормальному жеванию в составе зубного ряда.
Виды зубных коронок
- Металлические. Эти конструкции считаются устаревшими и используются все реже. Изготавливаются они из различных металлических сплавов, таких как кобальт-хром или никель-хром. Главные недостатки — неэстетичный вид и редкие, но возможные случаи возникновения аллергии из-за металла.
- Из драгметаллов. Литые протезы обычно выполняют из сплава золота и платины. Такой материал обеспечивает высокую прочность и хорошую биосовместимость с мягкими тканями ротовой полости. Однако коронки полностью из этого сплава не изготавливаются. Этот сплав используют для металлического каркаса, после покрывают слоем керамики.
- Металлокерамические. Сначала создается основа из металла, затем на нее наносят керамический слой. Возможно производство этих коронок с применением компьютерных технологий для достижения максимальной точности.
- Цельнокерамические. Эти коронки не содержат металла и изготавливаются исключительно из керамических материалов. Благодаря их биологической инертности, они безопасны для костных структур и мягких тканей. Производятся с помощью различных технологий: обжиг на огнеупорной модели или платиновой фольге, прессование керамики или фрезеровка с использованием CAD/CAM. Циркониевые. Их создают с использованием компьютерного моделирования и специального фрезеровочного оборудования. Есть 2 варианта этих коронок: монолитные (цельные из диоксида циркония) и комбинированные (с керамическим покрытием).

- Пластмассовые — временные протезы, которые устанавливают на зуб в период подготовки постоянной коронки. Их изготавливают из акрила в кабинете стоматолога-ортопеда или в лаборатории по заранее снятым слепкам. Носить их рекомендуется от нескольких дней до недель, в зависимости от хода лечения.
Виды зубных коронок: достоинства и недостатки

Какая зубная коронка лучше для жевательных зубов
Коронки на задние зубы должны быть особенно прочными, так как моляры испытывают наибольшую нагрузку при жевании. Надежность и устойчивость — это ключевые критерии при выборе материала коронки.
- Металлические — одни из самых бюджетных. Хотя их эстетика оставляет желать лучшего, они обеспечивают хорошую прочность, что делает их приемлемым выбором для жевательных зубов при ограниченном бюджете. Однако они могут вызывать аллергические реакции у пациентов с чувствительностью к металлу.
- Металлокерамические — металлическая основа обеспечивает надежность, а керамическая оболочка делает протезы незаметными. Из минусов можно отметить возможные аллергии на металл и появление синевы на деснах. Выходом могут стать каркасы из инертных материалов, но это повышает стоимость.
- Керамические из прессованной керамики на моляры — обеспечат отличную эстетику. Керамика выдерживает все нагрузки, если устанавливать на свои единицы или импланты.
- Циркониевые — хороший выбор для моляров благодаря высокой прочности и долговечности.
- Монолитные каркасные конструкции из диоксида циркония выдерживают значительные нагрузки десятки лет, оставаясь внешне незаметными и естественными.
Зубные коронки на передние зубы: виды материалов
- Металлические испортят зону улыбки. Уважающий себя стоматолог вряд ли предложит такой вариант для передних зубов.
- Коронки из золото-платинового сплава. Раньше этот вариант был популярен, особенно 30-40 лет назад. Однако сейчас такие коронки выглядят неэстетично, даже если их использовать на задних молярах.
- Металлокерамические. Дешевое, но сомнительное решение. Металлический каркас может просвечивать, а в зоне контакта десны и коронки часто появляется заметный синий ободок. Чтобы его не было, можно заказать металлокерамическую коронку с полной керамической облицовкой. Это будет стоить больше, но результат станет эстетичнее. Также можно использовать каркас из золота или платины, но это увеличит стоимость.
- Керамические. Это один из лучших вариантов для фронтальных зубов. Их не отличить от своих естественных.
- Из диоксида циркония. Этот вариант подойдет, если зубы изменили цвет. Коронки с фарфоровым покрытием станут прекрасным решением. Стоят как керамика, но при этом они обеспечивают отличную прочность.
Какой материал лучший для зубных коронок

Сравнительная таблица зубных коронок: виды и цены
Зубные коронки: виды материалов и стоимость. Какие выбрать?
Цена коронки зависит от материалов, технологий производства, оборудования, опыта стоматолога и уровня стоматологической клиники.
Зубы светопроницаемы. Плотность и структура дентина и эмали неодинакова, это в совокупности, дает тот вид зубов, к которому мы привыкли. И именно это глаз улавливает, когда видит, например, металлокерамическую коронку: оптические свойства материалов сильно отличаются от натуральных тканей. Из-за этого восстановленные единицы выглядят «неживыми».
Процесс установки коронки на зуб
- Сначала пациент проходит диагностику, в ходе которой выявляются показания и возможные противопоказания для установки коронки. Рентген помогает оценить степень повреждения зуба и разработать наилучший план лечения.
- Зуб обтачивают для протезирования. Глубина обработки зависит от материала: для керамических коронок требуется около 1 мм, а для металлокерамических — 2 мм. Обычно перед установкой проводится депульпация зуба, чтобы снизить риск осложнений под коронкой.
- Снятие слепка для изготовления постоянного протеза.
- Установка временной коронки. Нужна для скрытия дефект и защиты зуба. Ставится на цемент.
- Примерка постоянной коронки. Для проверки точности модели и комфорта проводится ее примерка. Иногда коронку временно фиксируют, чтобы ее можно было легко снять для коррекции.
- Финальная фиксация. Для разных типов протезов используют стеклоиономерные, композитные и другие виды цементов, в зависимости от клинической ситуации.
Этапы изготовления зубной коронки
- Снятие слепков: Процесс начинается в кабинете стоматолога, где снимают слепки или делают цифровое сканирование с 3D-технологиями. Эти данные отправляются в зуботехническую лабораторию.
- Создание модели: На основе слепков или цифровых данных в лаборатории создают точную гипсовую или виртуальную модель челюсти пациента. Эта модель служит основой для коронки, чтобы она подходила по форме и размеру.
- Выбор материала: В зависимости от медицинских показаний и пожеланий пациента выбирается материал — это может быть металл, керамика, диоксид циркония или комбинация материалов.
- Формовка коронки: Если используется металл, то его отливают в нужной форме, а затем шлифуют и полируют. В случае керамических или циркониевых коронок их изготавливают прессованием или фрезеровкой. Современные технологии, такие как CAD/CAM, позволяют вырезать коронку из цельного блока материала с высокой точностью.
- Нанесение керамического слоя: Если коронка комбинированная, на металлический каркас вручную наносится слой керамики, который затем запекается в специальной печи. Так достигается естественность цвета и текстуры эмали.
- Примерка и доработка: После изготовления коронку примеряют на модели челюсти, проверяя точность посадки и прилегания. Если необходимо, мастер проводит дополнительные корректировки.
- Полировка и глазурирование: Когда все керамические слои нанесены, протез проходит финальную обработку и глазурирование.
Установка зубных коронок на импланты
- Цементная фиксация. Этот метод напоминает установку коронки на зуб, но в роли основы выступает абатмент, к которому протез крепится стоматологическим цементом.
- Винтовая фиксация. Протез крепится к абатменту винтом, который проходит через всю коронку. После установки отверстие закрывается композитным материалом для восстановления эстетики и защиты конструкции.
- 2 раза в день чистите зубы щеткой с мягкой щетиной, используя неагрессивную пасту (без абразивов).
- Обязательно дополнительно используйте флосс и ирригатор для очистки межзубных промежутков.
- Не разгрызайте твердые продукты и предметы. Приходите на профилактические осмотры к стоматологу-терапевту и ортопеду, а также на профчистку 2 раза в год.
Сколько служат зубные коронки?
Зависит от материала: от 5 до 20 лет.
Можно ли заменить коронку при износе?
Если вы заметили признаки износа — ее пора менять. Коронку распилят, снимут, очистят зуб и установят новый протез.
Н3 Какую коронку выбрать для резцов?
Эстетичные варианты из керамики, например, E-max.
Уход за коронками сложнее, чем за своими зубами?
Принципиально ничем не отличается от рутины человека без протезирования.
Заключение
Чтобы результат соответствовал вашим ожиданиям — обратитесь к специалистам ПрезиДЕНТ. Мы используем накладки, коронки E-max и импланты проверенных зарубежных компаний и работаем на оборудовании мирового класса.
Источники
- Denture Adhesives [Электронный ресурс]. Режим доступа:https://www.fda.gov/medical-devices/dental-devices/denture-adhesives (дата обращения: 04.09.2024).
- Шатров И. М., Ведерникова Л. В., Жолудев С. Е. Изучение качества жизни у пациентов с дефектами зубов и зубных рядов после ортопедического лечения с использованием керамических реставраций // Проблемы стоматологии. 2013. №4. [Электронный ресурс]. Режим доступа: cyberleninka.ru/article/n/izuchenie-kachestva-zhizni-u-patsientov-s-defektami-zubov-i-zubnyh-ryadov-posle-ortopedicheskogo-lecheniya-s-ispolzovaniem-keramicheskih (дата обращения: 04.09.2024).
- Рыжова И.П., Максимова В.М., Гонтарев С.Н., Булгакова Д.Х. Анализ факторов, влияющих на качество и долговечность фиксации несъемных конструкций зубных протезов (обзор литературы) // ВНМТ. 2023. №2. [Электронный ресурс]. Режим доступа: https://cyberleninka.ru/article/n/analiz-faktorov-vliyayuschih-na-kachestvo-i-dolgovechnost-fiksatsii-nesemnyh-konstruktsiy-zubnyh-protezov-obzor-literatury (дата обращения: 05.09.2024).


















