Виды протезирования одного зуба
Отсутствие даже одного зуба портит улыбку и вредит здоровью. Сейчас протезированием 1 зуба можно решить проблему выпавшей или разрушающейся зубной единицы за пару визитов в клинику. Об этапах процедуры и ценах на протезирование одного зуба рассказываем здесь.
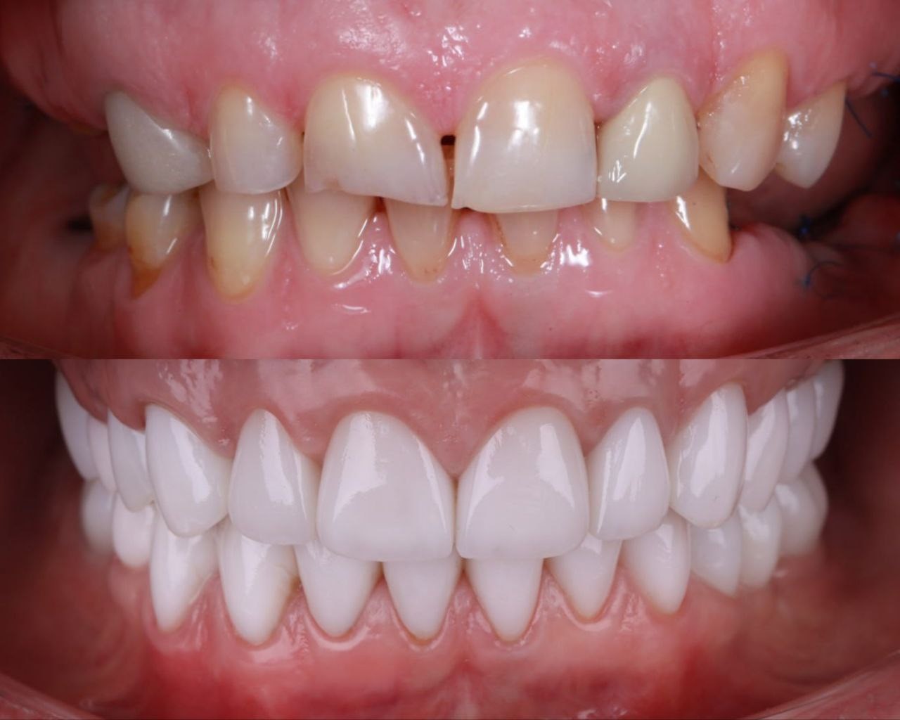
Протезирование при отсутствии одного зуба
Важно вернуть красоту и сохранить правильный прикус и жевательную функцию. Метод подбирается индивидуально с учетом клинической ситуации. Один из наиболее физиологичных вариантов — имплантация — заменяет корень и коронковую часть зуба. Протез ощущается как естественная зубная единица и не требует опоры на «соседей».
Показания
- Зуб утрачен из-за травмы или разрушения, или его удаление неизбежно по медицинским показаниям.
- Корень поврежден, а восстановление невозможно.
- Есть выраженный скол или стираемость эмали, требующая защиты.
Почему процедуру нельзя откладывать
Отсутствие даже одного зуба в ряду может усложнить жизнь и привести к серьезным проблемам:
- смещению, деформации и ускоренному разрушению зубного ряда;
- риску развития пародонтита и других заболеваний.
И это не говоря о банальном дискомфорте и ощущении неловкости, особенно если зубной единицы нет в зоне улыбки. Поэтому важно как можно раньше обратиться к стоматологу-ортопеду и имплантологу.
Во избежание возможных недоразумений, просьба уточнять стоимость услуг в клиниках у администратора или на консультации у врача. Цены на сайте не являются публичной офертой.
Виды протезирования одного зуба
Зуб сильно разрушен
Виниры
Этот метод подходит для зоны улыбки. Это тонкие керамические накладки, которые фиксируются на переднюю поверхность зуба, скрывая косметические дефекты: сколы, трещины, неровности, потемнение эмали.
- Преимущества: естественный вид.
- Недостатки: не подходит для полного восстановления, применяется в основном для улучшения вида нескольких передних зубов.
Вкладки
Если жевательный моляр или премоляр поврежден на 25-50%, альтернативой пломбированию становятся вкладки. Их создают в лаборатории по индивидуальному слепку, чтобы максимально точно восстановить форму и функцию утраченной части зуба.
- Преимущества: прочность, долговечность, эстетика.
- Недостатки: не подходит при сильном разрушении.
Коронки
При утрате более половины зубной ткани ставят коронку. Если корень сохранен, его дополнительно укрепляют штифтом или вкладкой, а на культю фиксируют металлокерамический, циркониевый или керамический протез.
- Преимущества: восстановление эстетики и жевательной функции.
- Недостатки: требуется обточка, в некоторых случаях — удаление нерва.
Зуба нет
Протез-бабочка
Такой вариант удобен в качестве временного решения после удаления зуба, поскольку изготовление занимает всего 1–2 дня. Обычно «бабочку» используют до установки постоянной конструкции.
Ее делают из нейлона или пластика, повторяя форму десны и коронки. Фиксация осуществляется с помощью гибких креплений, которые цепляются за соседние зубы.
- Преимущества: быстрое изготовление, эстетичность, низкая стоимость.
- Недостатки: хрупкость, недостаточная фиксация, не выдерживает сильных жевательных нагрузок.
Мост
Это несъемная конструкция из трех коронок: средняя заполняет пробел, а боковые крепятся на зубы-опоры.
Перед фиксацией опоры подготавливают — их обтачивают, а при необходимости укрепляют вкладками, чтобы увеличить срок службы конструкции.
- Преимущества: быстрое восстановление функции и вида зубного ряда, доступная цена.
- Недостатки: повышенная давление на зубы-опоры, риск их разрушения со временем, возможное истончение костной ткани под отсутствующим зубом.
Имплантация
Это наиболее надежный способ восстановления зуба. В десну вживляют титановый имплант, выполняющий роль корня, а затем на него устанавливают коронку.
- Преимущества: естественная эстетика, долговечность (пожизненная гарантия).
- Недостатки: могут быть противопоказания к хирургическому вмешательству.
Выбор методики зависит от многих факторов: от сроков адентии, от положения отсутствующей единицы во рту, от состояния ротовой полости, мягких и твердых тканей, наличия противопоказаний к конкретной процедуре.
Уход за протезами
Чтобы продлить срок службы конструкции, важно:
- Проводить домашнюю гигиену полости рта минимум дважды в день мягкой щеткой и пастой без абразивов.
- Использовать флосс и ирригатор для качественного очищения труднодоступных участков.
- Регулярно посещать стоматолога для осмотра и профессиональной чистки.
- Не нагружать протез чрезмерно твердой пищей.
Сколько стоит протезирование одного зуба
Стоимость зависит от типа конструкции и материала. Точный прайс определяют после консультации с врачом-ортопедом.
Выберите свою клинику
Журнал
Все публикацииОсложнения после синус-лифтинга: симптомы и причины
Читать полностью
Каппы для выравнивания зубов: взрослым и детям
Читать полностью
Виниры для зубов: что это такое, плюсы и минусы
Читать полностью



