Несъемное протезирование зубов
Качественное восстановление зубов — это не только забота о внешности, но и поддержание здоровья. Если вы рассматриваете протезирование, важно разобраться в видах протезов, их преимуществах и показаниях. Эта статья поможет сделать осознанный выбор.

Несъемные протезы для зубов — что это и для чего нужны
Это фиксируемые конструкции, которые надежно закрепляются во рту и не требуют ежедневного снятия.
Главные задачи:
- Функциональность. Восстановление способности полноценно пережевывать еду.
- Эстетика. Устранение визуальных дефектов, создание естественного вида улыбки.
- Предотвращение изменений. Пустоты в зубном ряду могут вызвать смещение соседних единиц и нарушение прикуса.
- Коррекция речи. Зубной ряд участвует в формировании звуков, и их утрата может влиять на дикцию.
- Простота использования. Уход как за своими зубами, протезную конструкцию не нужно снимать.
Показания
- Потеря одной или нескольких зубных единиц.
- Серьезное разрушение (более чем на 50 процентов) моляров, премоляров, клыков и резцов.
- Наблюдается патологическая стираемость.
- Эстетические проблемы: протезы скрывают сколы, трещины и аномальное положение зубов.
- Профилактика осложнений: несъемные протезы препятствуют деформации челюсти и смещению зубов.
Противопоказания
Несъемные протезы на имплантах — это эффективный способ восстановления зубов. Однако перед началом лечения важно учитывать противопоказания, определяемые при первичном осмотре у стоматолога. Они бывают абсолютными и относительными.
Абсолютные: полностью исключают имплантацию из-за высокого риска осложнений и невозможности прогнозирования результата. К таким состояниям относятся
- Онкологические заболевания
- Аутоиммунные патологии
- Туберкулез
- Нарушения свертываемости крови
- Патологии костной ткани, препятствующие ее восстановлению
Относительные: требуют предварительной коррекции
- Период беременности и кормления грудью
- Обострения хронических заболеваний
- Недостаточный объем кости

Для подготовки к имплантации может потребоваться синус-лифтинг или костная пластика.
Зачем учитывать противопоказания
Тщательная диагностика на этапе подготовки к имплантации помогает избежать осложнений и повысить шансы на успешное восстановление зубов.
Преимущества несъемного протезирования
Методы восстановления, при которых используются несъемные конструкции, имеют достаточно преимуществ. Ключевыми из них можно назвать следующие:
- качественные протезы практически невозможно отличить от настоящих зубов;
- жевательная нагрузка распределяется по челюсти равномерно;
- адаптация проходит быстро, не представляя для пациентов сложности;
- протезы держатся предельно прочно, из-за чего можно забыть о том, что они установлены;
- достаточно выполнять стандартные процедуры по гигиене полости рта;
- сохраняется хорошая вкусовая чувствительность, и пациент может продолжать наслаждаться своими любимыми блюдами.
Виды несъемных зубных протезов
ВкладкиЗамена пломб на молярах и премолярах. Подходят при значительных разрушениях, если корень здоров, а повреждение коронки не превышает 50%. Предпочтительный материал — керамика. Установка требует двух визитов: диагностика, оттиск, лечение на первом этапе и фиксация готового изделия на втором.
ВинирыКерамические микропротезы для зоны улыбки. Они маскируют мелкие дефекты и улучшают вид.
Коронки
Покрывают весь зуб или фиксируются на имплантатах. Используемые материалы — металлокерамика, керамика или цирконий. Подробнее о всех видах зубных коронок читайте здесь.
МостыРешение при отсутствии до трех зубов. Конструкция фиксируется на соседних обточенных единицах или имплантатах.

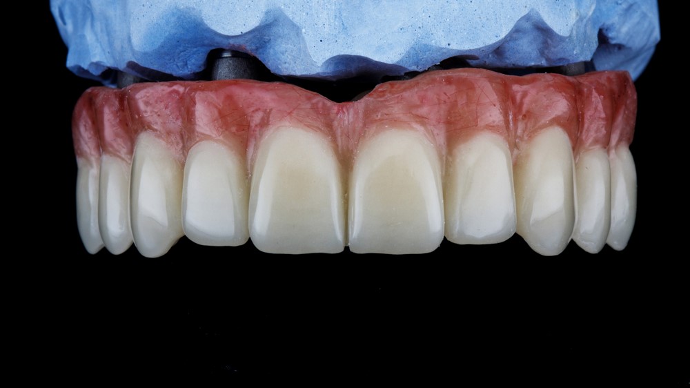
Протезы на имплантах
Наиболее надежный метод, при котором импланты служат основой для несъемных конструкций.

Какой протез лучше, если нет зубов
All-on-4 и All-on-6 — минимально травматичные методы, при которых используются 4 или 6 имплантатов для фиксации несъемного протеза.
Во избежание возможных недоразумений, просьба уточнять стоимость услуг в клиниках у администратора или на консультации у врача. Цены на сайте не являются публичной офертой.
Материалы
Металл (титан, хром, никель)
Прочные и недорогие конструкции для жевательных зубов.
Пластмасса (акрил)
Для временных конструкций.
Металлокерамика
Керамическое покрытие на металлическом каркасе. Прочный вариант для моляров и премоляров, но менее эстетичный.
Керамика E-max
Современный материал для передних зубов. Обеспечивает натуральный вид.
Диоксид циркония
Прочный материал. В зоне улыбки применяется цирконий с керамическим напылением.
Материалы должны отвечать ряду требований:
- гипоаллергенность, биологическая совместимость с тканями десны;
- отсутствие запаха и вредных веществ в составе;
- высокая степень механической стойкости.
Этапы изготовления и установки
- Консультация и диагностика
Пациент приходит на первичный прием, где врач проводит осмотр, делает рентгеновские снимки или компьютерную томографию. На этом этапе составляется план лечения. - Подготовительные процедуры
Если выявлены заболевания полости рта, проводится их лечение: удаление кариеса, лечение десен, удаление поврежденных зубов. При недостаточном объеме костной ткани может потребоваться процедура костной пластики. - Изготовление оттисков
Врач делает слепки челюсти или проводит сканирование цифровым оборудованием. На основе полученных данных в лаборатории создается индивидуальный протез. - Примерка и подгонка
Перед финальной установкой протез примеряется, оценивается точность прилегания, удобство и вид конструкции. - Установка
Готовую модель фиксируют на зубах или имплантатах стоматологическим цементом или на винтовое крепление.
Общие правила
Необходимо соблюдение ряда правил:
- верхние протезы должны выглядеть естественно, для этого лучше выбрать цельную керамику;
- моляры и премоляры берут на себе большую нагрузку, поэтому протезировать их нужно наиболее прочными конструкциями.
Как ухаживать за несъемным протезом
- Используйте щетку и пасту по рекомендации врача-стоматолога для ежедневного ухода.
- Применяйте ирригатор для удаления остатков еды.
- Полощите рот антисептиком по назначению врача.
- Проходите гигиену у стоматолога дважды в год.
- Избегайте жестких и вязких продуктов.
Сколько стоит несъемный протез
Цена несъемного зубного протеза зависит от:
- типа, например, коронки, мосты или протезы на имплантах имеют разную цену;
- материала: металлокерамика, керамика, цирконий и другие материалы имеют различную стоимость:
- сложности работы: дополнительные процедуры, такие как синус-лифтинг или костная пластика, увеличивают общую цену;
- клиники: расценки зависят от уровня стоматологического центра, квалификации специалистов и используемого оборудования.
В среднем цена одной коронки из керамики начинается от 30 000 рублей, а протеза на имплантах — от 150 000 рублей за один сегмент.
Отзывы пациентов
Сергей, 55 лет:
“После установки моста на имплантах с левой стороны нижней челюсти я снова могу улыбаться и есть любимые блюда, которые готовит моя жена. Оплатили все в рассрочку по частям.
Очень удобно, не пришлось брать кредит”.
Анна, 28 лет:
“Делала виниры. Результат превзошел ожидания. Большое спасибо!”
Почему стоит обратиться в клинику ПрезиДЕНТ
- Стоматологи-ортопеды и имплантологи с опытом более 10 лет.
- Предлагаем полный цикл услуг: от диагностики до реабилитации.
- Изготавливаем конструкции из сертифицированных материалов.
- Предоставляем гарантию на все выполненные работы.
Поставить протез под ключ в Москве можно в стоматологии ПрезиДЕНТ. Стоимость услуг обозначена в прайсе клиники. Наши врачи-стоматологи работают с разными клиническими случаями, достигая лучшего результата.
Смотрите также
- Удаление молочных зубов
- Удаление корня зуба
- Имплантация зубов под ключ
- Дентальная имплантация зубов
- Базальная имплантация зубов под ключ
Источники:
- Denture Adhesives [Электронный ресурс]. Режим доступа: https://www.fda.gov/medical-devices/dental-devices/denture-adhesives (дата обращения: 09.11.2024).
- Рыжова И.П., Максимова В.М., Гонтарев С.Н., Булгакова Д.Х. Анализ факторов, влияющих на качество и долговечность фиксации несъемных конструкций зубных протезов (обзор литературы) // ВНМТ. 2023. №2. [Электронный ресурс]. Режим доступа: https://cyberleninka.ru/article/n/analiz-faktorov-vliyayuschih-na-kachestvo-i-dolgovechnost-fiksatsii-nesemnyh-konstruktsiy-zubnyh-protezov-obzor-literatury (дата обращения: 09.11.2024).
- Шатров И. М., Ведерникова Л. В., Жолудев С. Е. Изучение качества жизни у пациентов с дефектами зубов и зубных рядов после ортопедического лечения с использованием керамических реставраций // Проблемы стоматологии. 2013. №4. [Электронный ресурс]. Режим доступа: cyberleninka.ru/article/n/izuchenie-kachestva-zhizni-u-patsientov-s-defektami-zubov-i-zubnyh-ryadov-posle-ortopedicheskogo-lecheniya-s-ispolzovaniem-keramicheskih (дата обращения: 09.11.2024).
Восстановление коронкой пластмассовой
от 5 110 ₽Восстановление зуба коронкой постоянной композитной
от 22 000 ₽Восстановление коронкой провизорной, фрезерованной
от 9 300 ₽Восстановление коронкой с использованием культевой вкладки
от 6 000 ₽Восстановление коронкой с использованием культевой вкладки из титана
от 8 500 ₽Восстановление целостности зубного ряда несъемными мостовидными протезами (зуб)
от 12 820 ₽Восстановление целостности зубного ряда несъемными мостовидными протезами (коронка)
от 21 040 ₽Восстановление коронкой металлокерамической
от 20 938 ₽Восстановление коронкой литой из КХС (Co-Cr)
от 10 171 ₽Восстановление зуба коронкой безметалловой Emax
от 30 000 ₽Восстановление зуба коронкой безметалловой высокой эстетики
от 38 628 ₽Восстановление зуба коронкой безметалловой по технологии Cerec
от 30 000 ₽Фиксация керамической коронки, вкладки, винира
от 7 000 ₽Фиксация коронки на стеклоиномерный цемент
от 1 212 ₽
Цены ориентировочные, не являются публичной офертой. Стоимость услуг уточняйте в выбранной клинике ПрезиДЕНТ. Обращаем внимание, что точную цену вы сможете узнать после консультации с врачом в клинике
Вопросы и ответы
Что делать, если протез шатается?
Обратитесь к врачу для восстановления фиксации. Не пытайтесь решить проблему самостоятельно.Какой протез выбрать при отсутствии трех зубов сверху?
Мост на имплантах обеспечивает надежность и сохраняет форму десны.Какой протез выбрать для верхней и нижней челюсти?
Выбор зависит от клинической ситуации, расположение дефекта не имеет значения.
Выберите свою клинику
Журнал
Все публикацииОсложнения после синус-лифтинга: симптомы и причины
Читать полностью
Каппы для выравнивания зубов: взрослым и детям
Читать полностью
Виниры для зубов: что это такое, плюсы и минусы
Читать полностью



