Виниры
Ищете клинику для установки виниров на зубы в Москве? Воспользуйтесь услугами ПрезиДЕНТа! Мы предлагаем не только доступные цены, но и отличный результат – записывайтесь на прием, просто позвонив по телефону +7 (495) 120-01-20.
Виниры — тончайшие накладки, которые фиксируют на переднюю поверхность зубов. Такие пластины подбираются индивидуально, с учетом цвета и формы зубов.
Поставить винир можно для исправления внешних дефектов:
Потемнение эмали, если отбеливание не помогает.
- Мелкие сколы и трещины, не влияющие на корень.
- Неровный контур зубов — короткие, заостренные или клиновидные края.
- Щели между зубами, диастема.
- Несовпадение цвета пломбы и эмали.
- Износ поверхности зуба из-за стираемости или кислотной эрозии.
Виниры улучшают форму, цвет и симметрию зубов — без ортодонтии и длительного вмешательства.

Преимущества виниров
- Быстрый результат. Изменения заметны сразу после установки.
- Натуральный вид. Зубы выглядят естественно, форма и цвет — под контролем врача.
- Долговечность. Керамика и современные композиты устойчивы к износу.
- Дополнительная защита. Винир снижает влияние температур, кислот и механических нагрузок.
- Комфорт. Лечение проходит без боли.
На какие зубы можно поставить виниры
Виниры применяют для восстановления тех зубов, которые видны при улыбке:
- передние зубы (резцы);
- клыки;
- премоляры — по показаниям.
На жевательные зубы чаще ставят коронки из-за большей нагрузки.
Перед установкой врач-ортопед оценивает состояние эмали, прикус и общее здоровье полости рта. Если есть кариес, воспаления или подвижность, то установка откладывается до лечения.
Установка виниров: показания и противопоказания
Виниры на зубы устанавливают в следующих случаях:
- выраженное изменение цвета эмали (тетрациклиновые, флюорозные зубы, потемнение после депульпации);
- эрозия эмали;
- дефекты, из-за которых есть обширные поражения твердых тканей;
- скученность резцов, их аномальная форма, небольшая деформация зубного ряда;
- сколы или крупные межзубные промежутки.
Виниры также могут установить при отсутствии стоматологических проблем.
Несмотря на универсальность метода, существуют противопоказания. Виниры не устанавливают, если:
- пациент страдает бруксизмом;
- эмаль быстро стирается;
- зуб разрушен со стороны языка;
- на внутренней поверхности стоят крупные пломбы;
- есть риск получения травмы (например, при занятиях контактными видами спорта).
Стоматолог-ортопед оценивает состояние зубов и уровень нагрузки перед процедурой.
Какими бывают виниры и как их устанавливают?
Различают несколько типов виниров — в зависимости от материала и технологии.
Композитные. Изготавливаются и устанавливаются в кабинете за один прием. Эмаль при этом обрабатывается минимально. Метод подходит для несложных реставраций, особенно в подростковой стоматологии. К минусам можно отнести ограниченный срок службы и менее выразительный внешний вид по сравнению с керамическими винирами;
Керамические. Изготавливаются из медицинского фарфора и диоксида циркония. Такие пластины отличаются высочайшей прочностью, сохраняют цвет на протяжении всего срока службы, позволяют добиться безупречного эстетического результата. Толщина пластинки – 0,3-0,5 мм;
Фарфоровые (голливудские люминиры). Отличаются минимальной толщиной – всего 0,2 мм. Их преимуществом является установка без обточки, великолепный внешний вид, долгий срок службы. С помощью таких пластин можно реставрировать искусственные коронки.
Сначала проводят профессиональную чистку — это позволяет точно подобрать оттенок и убрать налет. После этого стоматолог-ортопед определяет способ установки.
Подходит для композитных виниров. Сначала с зуба снимают минимальный слой эмали. Затем врач наносит материал послойно, формируя новую поверхность. Каждый слой подсвечивают лампой до затвердевания.
Используется для установки керамических виниров. После препарирования снимается слепок, по которому изготавливают пластину в лаборатории. Готовый винир фиксируется на специальный цемент.
Выбор метода зависит от клинической ситуации и желаемого результата.

Сколько стоит установка виниров в клинике ПрезиДЕНТ?
Стоимость зависит от типа используемых материалов, метода установки, объема работы и других факторов. В любом случае спешим заверить, что цены на наши услуги самые оптимальные. Наши специалисты проведут диагностику и помогут подобрать наилучший вариант, учитывая индивидуальные физиологические особенности и финансовые возможности пациента. Реставрация, проведенная в стоматологических клиниках ПрезиДЕНТ – путь к безупречной улыбке!
Что лучше: виниры или люминиры
Оба варианта улучшают внешний вид зубов, но отличаются по толщине, способу установки и показаниям.
Виниры — прочные керамические накладки толщиной до 0,7 мм. Перед установкой эмаль обтачивают, чтобы накладка не выступала. Подходят для маскировки сколов, неровностей, изменения цвета и формы зубов, незначительной деформации зубного ряда.
Люминиры — сверхтонкие пластинки (около 0,2 мм). Эмаль почти не шлифуется или вообще не трогается. Устанавливаются чаще при незначительных эстетических проблемах, например, легкой пигментации или небольших промежутках между зубами.
Что выбрать
- Если нужен естественный эффект, исправление формы и плотная посадка — подойдут виниры.
- Если эмаль не хочется трогать, а задача — освежить улыбку без серьезных изменений — вариант с люминирами.
Окончательное решение принимает стоматолог после осмотра и диагностики.

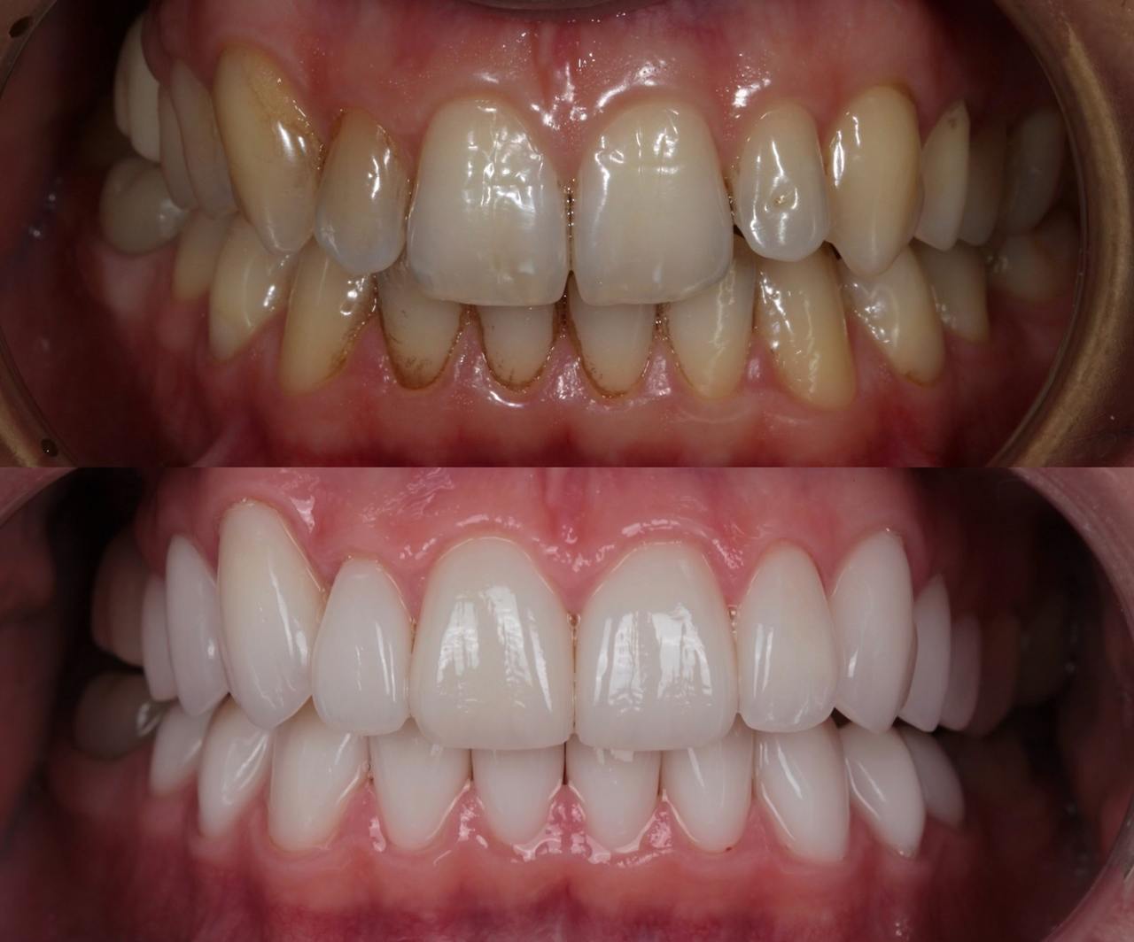
До и после установки керамических виниров: кейс специалистов Сети клиник ПрезиДЕНТ
Как ухаживать за винирами
- Чистить зубы два раза в день — мягкой щеткой и без абразивной пасты.
- Использовать ирригатор и флосс — для удаления налета в межзубных промежутках.
- Избегать щелкать орехи, открывать упаковки зубами, грызть твердые предметы.
- Ограничить кофе, красное вино, ягоды и другие красящие продукты — особенно в первые недели после установки.
- Посещать стоматолога каждые 6 месяцев для профилактики и профчистки.
При соблюдении рекомендаций виниры сохраняют форму, блеск и цвет до 10–15 лет.
Источники:
- The Success of Dental Veneers According To Preparation Design and Material Type / Open Access Maced J Med Sci. [Электронный ресурс]. Режим доступа: https://www.ncbi.nlm.nih.gov/pmc/articles/PMC6311473 (дата обращения 26.03.2025).
- Немсцверидзе Я.Э., Дербина Л.Р., Гаспарян А.М. Сравнительные характеристики виниров и люминиров в стоматологии // Вестник медицинского института «Реавиз»: реабилитация, врач и здоровье. 2022. №2 (56) Special Issue. [Электронный ресурс]. Режим доступа: https://cyberleninka.ru/article/n/sravnitelnye-harakteristiki-vinirov-i-lyuminirov-v-stomatologii (дата обращения: 26.03.2025).
Виниры
от 40 000 ₽Первичный осмотр и консультация врача стоматолога-ортопеда
от 500 ₽Керамические виниры
от 35 000 ₽Композитные виниры
от 15 500 ₽Виниры E-max
от 34 000 ₽Циркониевые виниры
от 35 000 ₽
Обращаем ваше внимание на то, что данный интернет-сайт, а также вся информация об услугах и ценах, предоставленная на нем, носит исключительно информационный характер и ни при каких условиях не является публичной офертой
Выберите свою клинику
Журнал
Все публикацииОсложнения после синус-лифтинга: симптомы и причины
Читать полностью
Каппы для выравнивания зубов: взрослым и детям
Читать полностью
Виниры для зубов: что это такое, плюсы и минусы
Читать полностью



