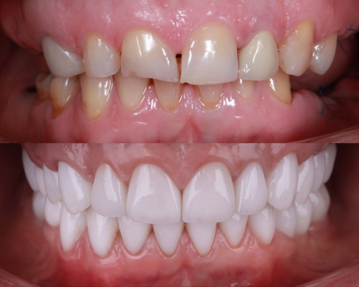
Протезирование зубов коронками
Стоматологи клиники ПрезиДЕНТ восстанавливают поврежденные зубы с помощью коронок всего за два приема. Разберемся, какие разновидности этих протезов существуют и когда они необходимы.
Что такое коронка и зачем она нужна?
Коронка — это одиночный протез, предназначенный для восстановления верхней части зуба. Она изготавливается индивидуально в зуботехнической лаборатории на основе слепков пациента.
Протез используется в следующих случаях:
- Если зуб поврежден более чем наполовину;
- При наличии выраженных эстетических недостатков;
- Для восстановления зубов в составе мостовидных конструкций или после имплантации.
Коронка может быть зафиксирована на штифт, культевую вкладку, корень или имплант. Благодаря высокой точности изготовления она выглядит натурально и гармонично вписывается в зубной ряд.

Когда стоит установить коронку?
- Серьезное повреждение зуба. Если более 50% зубной ткани разрушено из-за кариеса, травмы или других факторов, установка коронки становится оптимальным решением.
- Эстетические проблемы. Протезирование помогает устранить аномалии формы зубов, например, шиповидные или сросшиеся зубы, улучшая внешний вид улыбки.
- Потемнение эмали. Коронки рекомендуются при изменении цвета зубов, вызванном гипоплазией, флюорозом или некрозом пульпы.
- Износ зубов. Коронки защищают от патологической стираемости и предотвращают дальнейшее разрушение тканей.
- После лечения каналов. Зубы, ослабленные после эндодонтического лечения, нуждаются в укреплении с помощью коронок.
- Коррекция прикуса. Протезы позволяют восстановить высоту прикуса и улучшить анатомическую форму зубного ряда.
- Опора для съемных конструкций. Зубы с коронками могут быть использованы для крепления съемных протезов через кламмеры или аттачменты.
- Имплантация. Коронки применяются для завершения процесса протезирования на имплантах, полностью восстанавливая функциональность и эстетику зубного ряда.
- Дополнительное лечение. Под коронку может быть заложен лечебный материал, стимулирующий формирование заместительного дентина.
Коронки обеспечивают восстановление функциональности зубов, возвращая пациентам уверенность в себе. Их установка помогает защитить поврежденные зубы, сохранить здоровье ротовой полости и достичь эстетического результата.
Протезирование зубов: виды коронок
Для восстановления зубов применяются коронки, изготовленные из металлов, керамики, металлокерамики, диоксида циркония и керамокомпозита. Окончательный выбор материала осуществляется стоматологом совместно с пациентом, принимая во внимание местоположение зуба, эстетические предпочтения и бюджет.
Временные коронки
На время изготовления постоянных протезов используются временные коронки, выполненные из пластмассы.
Металлические коронки
Металлические коронки создаются из кобальто-хромовых сплавов, титана или золота. Из-за низкой эстетической привлекательности их чаще всего ставят на жевательные зубы.

Металлокерамические коронки
Эти коронки сочетают металлический каркас с керамическим покрытием, что делает их прочными и визуально эстетичными.

Циркониевые коронки
Коронки из диоксида циркония сочетают прочность и натуральный вид благодаря светопропускным свойствам материала.

Керамические коронки E-max
Коронки из стеклокерамики E-max отличаются эстетическим видом, идентичным натуральным зубам, и минимальным воздействием на ткани зуба. Протезирование такими коронками подходит для передних зубов.

Этапы протезирования
1-й этап:
- Осмотр и диагностика
Стоматолог оценивает состояние ротовой полости, определяя степень повреждения зубов, необходимость исправления прикуса и наличие воспалений. Для уточнения диагноза назначается КТ. С помощью рентгеновского снимка врач проверяет качество пломб в каналах, наличие кариозных процессов, кист и других патологий. - Планирование терапии
На основании собранных данных специалист формирует план лечения, подробно объясняя этапы и предлагая подходящие варианты протезирования. Для предотвращения осложнений назначаются подготовительные процедуры, такие как:
• устранение кариозных поражений;
• пломбирование корневых каналов;
• профессиональная гигиена полости рта;
• лечение воспалительных процессов. - Формирование шаблона
Для создания модели зуба врач снимает слепок либо использует цифровой внутриротовой сканер. Это помогает зафиксировать исходный рельеф зуба до препарирования, что важно для изготовления как временной, так и постоянной конструкции. - Анестезия
Для комфорта пациента применяется местный анестетик, который блокирует болевые ощущения. Обезболивание начинает действовать спустя минуту после введения. - Удаление нерва
Врач старается сохранить пульпу, чтобы сохранить питание зубных тканей, продлевая срок службы зуба под коронкой. Однако удаление нерва необходимо, если:
• слой эмали и дентина передних зубов слишком тонкий;
• зуб имеет один корень.
В таких случаях перегрев пульпы при обточке может вызвать воспаление, поэтому нервно-сосудистый пучок удаляют заранее. - Препарирование зуба
В процессе обточки удаляются поврежденные участки тканей, формируется культя для установки протеза. Объем зуба уменьшается по кругу на 1–2,5 мм. Если оставшейся высоты недостаточно (менее 3 мм), дополнительно используется штифт или культевое укрепление для надежной фиксации конструкции. - Ретракция десны
Для получения точного слепка стоматолог отодвигает десну с помощью ретракционной нити, силиконового конуса или специального кольца. - Сканирование зубов
С помощью внутриротового сканера создается 3D-модель зубов. Такая технология позволяет изготовить коронку, идеально подходящую по форме и плотно прилегающую к культе. - Установка временной коронки
На этапе ожидания постоянной конструкции стоматолог фиксирует временную коронку. Она защищает обточенный зуб, возвращает эстетику, сохраняет дикцию и обеспечивает комфорт при приеме пищи. Конструкция изготавливается из пластмассы прямо в кабинете и устанавливается на срок 1–2 недели.
2-й этап: Установка коронки
- Анестезия
Чтобы устранить возможный дискомфорт, возникающий даже после удаления нервно-сосудистого пучка, врач проводит местное обезболивание.
- Удаление временной коронки
Снятие временной конструкции проходит быстро и безболезненно, так как для ее крепления использовался менее прочный цемент. Специалист применяет аппарат Коппа для аккуратного смещения коронки, после чего удаляет остатки клеящего состава. - Проверка постоянного протеза
Постоянная коронка временно фиксируется на слабый цемент. Стоматолог проверяет ее прилегание, расстояние до соседних зубов и правильность смыкания челюстей. При необходимости корректируются форма, эстетика или посадка конструкции, чтобы обеспечить комфорт пациента.
- Подготовка зуба
Перед окончательной фиксацией зуб очищается и сушится. Для усиления сцепления с цементом врач наносит на культю несколько слоев специального композита.
- Фиксация коронки
Коронка обрабатывается изнутри и покрывается подходящим клеящим составом. После нанесения цемента конструкция устанавливается на зуб, а излишки клея тщательно удаляются. Пациенту необходимо удерживать челюсти сомкнутыми некоторое время для надежной фиксации.
- Окончательная проверка
На финальном этапе врач оценивает правильность установки коронки, используя флосс для проверки контакта с соседними зубами. Также уточняется у пациента, удобно ли ему говорить, открывать и закрывать рот, чтобы исключить возможные неудобства.
Сроки протезирования
Зависят от выбранной методики установки и клинического случая:
- при частичном разрушении одного зуба рекомендуется установка на него коронки – предварительно он обтачивается, сверху надевается и фиксируется протез;
- при отсутствии нескольких зубов подряд устанавливают мостовидные протезы – конструкции из 2-4 коронок;
- при сильном разрушении либо отсутствии одного или нескольких зубов возможна установка коронки на импланты;
- при полной адентии единственным возможным вариантом несъемного протезирования является имплантация и установка протезов, имитирующих зубной ряд.
При этом возможна комбинация материалов, например, керамики, металлокерамики и диоксида циркония. Это позволяет создавать максимально удобные, функциональные и долговечные конструкции.

Тотальное протезирование на имплантатах. На фото потрясающая работа специалистов Сети ПрезиДЕНТ
Уход и обслуживание коронок
Для того чтобы коронки служили долго и сохраняли привлекательный вид, важно соблюдать правила ухода. Основные рекомендации:
- Гигиена. Чистите зубы дважды в день мягкой щеткой с пастой, содержащей фтор. Для очистки промежутков используйте зубную нить или ирригатор.
- Полоскания. После приема пищи рекомендуется ополаскивать рот водой или антисептическими растворами, чтобы избежать накопления бактерий вокруг коронки.
- Профилактика. Регулярно посещайте стоматолога (не реже одного раза в шесть месяцев) для проверки состояния коронок и десен. Это поможет вовремя выявить возможные проблемы, такие как микротрещины или воспаления.
- Ограничения в питании. Старайтесь не раскусывать твердые продукты – лед, орехи, сухари, чтобы не повредить коронку.
- Защита при бруксизме. Если вы склонны к скрежету зубами, используйте капу, чтобы предотвратить нагрузку на коронки.
Соблюдение этих простых рекомендаций позволит продлить срок службы коронок до 10–15 лет и избежать дополнительных затрат на ремонт.
Протезирование зубов коронками: отзывы
Мария, 29 лет:
"Установила коронку из циркония на 5-й зуб. Процедура прошла безболезненно, а результат – превосходный. Через два года коронка выглядит как новая, ничего не беспокоит".
Алексей, 45 лет:
"Решил поставить металлокерамическую коронку, она меня устроила по цене и качеству. Уже четыре года никаких нареканий – коронка справляется на отлично".
Установка в клинике «ПрезиДЕНТ»
«ПрезиДЕНТ» — это гарантия здоровья и красоты ваших зубов. Мы предлагаем полный спектр услуг протезирования от установки одиночных коронок до имплантации, в том числе по системам «All-on-4» и «All-on-6».
Почему стоит обратиться к нам:
- широкая сеть клиник — вам не придется далеко ехать, наши филиалы есть во всех районах Москвы;
- только квалифицированные специалисты с многолетним опытом работы;
- широкий выбор услуг;
- использование материалов и оборудования от лидеров рынка;
- сжатые сроки изготовления и установки.
Смотрите также
- Лечение межзубного кариеса
- Лечение кариеса у детей
- Коронки для исправления прикуса
- Керамические брекеты
Источники:
- Denture Adhesives // FDA. URL: www.fda.gov (дата обращения: 30.12.2024)
- Шатров И. М., Ведерникова Л. В., Жолудев С. Е. Изучение качества жизни у пациентов с дефектами зубов и зубных рядов после ортопедического лечения с использованием керамических реставраций // Проблемы стоматологии. 2013. №4. URL: https://cyberleninka.ru/article/n/izuchenie-kachestva-zhizni-u-patsientov-s-defektami-zubov-i-zubnyh-ryadov-posle-ortopedicheskogo-lecheniya-s-ispolzovaniem-keramicheskih (дата обращения: 30.12.2024).
- Луцкая И. К., Зиновенко О. Г. Особенности клинического течения и консервативного лечения кариеса зубов, покрытых искусственными коронками // Современная стоматология. 2013. №2 (57). URL: https://cyberleninka.ru/article/n/osobennosti-klinicheskogo-techeniya-i-konservativnogo-lecheniya-kariesa-zubov-pokrytyh-iskusstvennymi-koronkami (дата обращения: 30.12.2024).
- Complications associated with dental crowns: A review. [Электронный ресурс] Режим доступа: https://www.researchgate.net/publication/341286106_COMPLICATIONS_ASSOCIATED_WITH_CROWNS_AND_FIXED_PARTIAL_DENTURES_PROVIDED_TO_PATIENTS_AT_A_TEACHING_HOSPITAL (дата обращения: 30.12.2024).
Цена коронки на зуб
Цены на протезирование зависят от нескольких факторов:
- Материалы. Металлокерамические коронки – бюджетный вариант, стоимость начинается от 8 000 рублей. Циркониевые коронки дороже (от 20 000 рублей), но отличаются высокой эстетикой и долговечностью.
- Подготовительные процедуры. Цена может увеличиться, если требуется лечение зубов, установка штифта или восстановление поврежденной коронки.
- Дополнительные услуги. В ряде случаев клиники включают в стоимость 3D-моделирование будущей коронки или консультацию ортопеда.
Итоговая стоимость зависит от состояния ротовой полости пациента, сложности работы и выбранного материала.
Коронка керамическая на оксиде циркония
от 38 064 ₽Коронка металлокерамическая
от 31 000 ₽Коронка металлокерамическая Creation
от 19 500 ₽Коронка металлокерамическая высокой эстетики
от 33 657 ₽Коронка металлокерамическая высокой эстетики с плечевой массой
от 20 000 ₽Коронка металлокерамическая КХС (Co-Cr)
от 25 000 ₽Коронка металлокерамическая на драгоценном металле
от 39 583 ₽
Обращаем ваше внимание на то, что данный интернет-сайт, а также вся информация об услугах и ценах, предоставленная на нем, носит исключительно информационный характер и ни при каких условиях не является публичной офертой
Выберите свою клинику
Журнал
Все публикацииОсложнения после синус-лифтинга: симптомы и причины
Читать полностью
Каппы для выравнивания зубов: взрослым и детям
Читать полностью
Виниры для зубов: что это такое, плюсы и минусы
Читать полностью



